Adult Post-COVID-19 Multisystem Inflammatory Syndrome And Thrombotic Microangiopathy
Mar 19, 2022
for more information:ali.ma@wecistanche.com
Idris Boudhabhay, et al
Background:
The coronavirus disease 2019 (COVID-19) pandemic has affected millions of people worldwide. A clinical series of Kawasaki-like multisystem inflammatory syndrome (MIS), occurring after SARS-CoV-2 infection, have been described in children (MIS-C) and adults (MIS-A), but the pathophysiology remains unknown.
Case Presentation:
We describe a case of post-COVID-19 MIS-A in a 46-year-old man with biopsy-proven renal thrombotic microangiopathy (TMA). Specific complement inhibition with eculizumab was initiated promptly and led to a dramatic improvement of renal function.
Conclusion:
Our case suggests that TMA could play a central role in the pathophysiology of post-COVID-19 MIS-A, making complement blockers an interesting therapeutic option. Cistanche has a good effect of improving immunity to treat Multisystem Inflammatory Syndrome and Thrombotic Microangiopathy.
Keywords: thrombotic microangiopathy, multisystem inflammatory syndrome, COVID-19, complement system, eculizumab, case report

Click to Cistanches for immunity
INTRODUCTION
The coronavirus disease 2019 (COVID-19) pandemic caused by SARS-CoV-2 has affected millions of people worldwide. In adults, COVID-19 is typically characterized by severe interstitial pneumonia and hyperactivation of the inflflammatory cascade (1). There is growing evidence that COVID-19 affects the endothelial system, leading to endothelial dysfunction characterized by a pro-inflammatory and pro-coagulative state (2–5). Clinical series of Kawasaki-like multisystem inflflammatory syndrome (MIS), occurring after viral clearance, have been described in children (MIS-C) (6–9). Recently, similar case series of MIS were described in adults (MIS-A) (10–15). However, the pathophysiology of MIS remains unknown. We report a case of MIS-A with biopsy-proven thrombotic microangiopathy (TMA) successfully treated with eculizumab.
CASE PRESENTATION
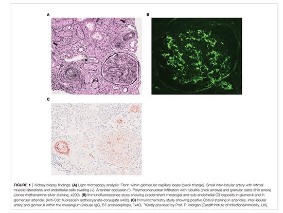
A 46-year-old patient of West African ancestry was admitted to our hospital for hypertensive emergency (189/123 mmHg) and fever. He had a personal history of arterial hypertension and obesity (BMI = 36 kg/m2 ) and a family history of arterial hypertension. No previous COVID-19 symptoms were reported, and the patient did not take any prescribed or over-the-counter medications. Physical examination was normal. SARS-CoV-2 PCR of the nasopharyngeal swab was negative (repeated twice), but COVID-19 serology was positive for IgG (80 UA/mL, positive if > 12 UA/mL, Immunoassay YHLO iFlash 1800) and negative for IgM. Thoracoabdominopelvic CT scan was unremarkable. First investigations revealed an inflflammatory state, anemia, thrombocytopenia, and acute kidney injury (AKI). The serum creatinine (SCR) level was 169 µmol/L and associated with 1g per day proteinuria, aseptic pyuria, no haematuria, and low natriuresis (< 20 mmol/L). C-reactive protein (CRP) level was 312 mg/L and neutrophil count was 18.7 g/L (Table 1). On day 4, the patient presented with evanescent facial erythema and developed acute myocardial dysfunction with reduced left ventricular ejection fraction (40%), pericardial effusion, and elevation of highsensitivity troponin (hsTroponin). Taking into account the frequency of vascular thromboses related to COVID-19, therapeutic anticoagulation with heparin was started. On day 5, neurological impairment appeared with coma, leading to intubation and mechanical ventilation. Cerebrospinal flfluid analysis was unremarkable. Abnormal supratentorial periventricular MRI signals responsible for a restriction of the diffusion testified to acute vasculitis. No immunosuppressive treatment was introduced because of concomitant tracheal aspiration positive for Enterobacter aerogenes, which was treated with trimethoprim-sulfamethoxazole. On day 7, myocardial and renal function worsened (SCR 660 µmol/L), requiring initiation of dobutamine and intermittent renal replacement therapy (RRT). A kidney biopsy was performed. Light microscopy revealed typical lesions of TMA, including fibrin thrombi within glomeruli and myxoid intimal alterations of arterioles and small-to-medium-sized renal arteries. The remaining glomeruli were normal without hypercellularity. A signifificant interstitial infiltrates, mainly composed of neutrophils, was responsible for severe tubulitis and moderate acute tubular necrosis (Figure 1A). Immunofluorescence study showed isolated mesangial complement C3c-positive deposits without evidence for IgG, IgA, IgM, C1q, or C4d deposits (Figure 1B). The immunochemistry study showed C5b-9 deposits at the same localization (Figure 1C). The immunological workup is shown in Table 2. ADAMTS13 activity was moderately decreased but did not reach the cut-off for a diagnosis of thrombotic thrombocytopenic purpura. Complement work-up evaluation found an elevated soluble C5b-9 (sC5b-9) with low C4 and normal C3 levels in the serum (Table 2). Cryoglobulinemia was negative. All coding sequences of CFH, CFI, MCP, C3, CFB, and THBD genes were analyzed by next-generation sequencing. We defined a variant as rare when its minor allele frequency was below 1% in the general population. No rare variants were detected in the six complement genes implicated in atypical hemolytic uremic syndrome (aHUS).



On day 8, specific complement inhibition with eculizumab (900 mg) was initiated. Three days later, cardiac function and neurological impairment improved, urine output increased, and blood creatinine decreased, allowing the withdrawal of dobutamine, RRT, and mechanical ventilation (Table 1). On day 15, the patient received a second and last dose of eculizumab (900 mg). On day 30, the patient was discharged from the hospital, with an SCR 109 µmol/L and cardiac MRI showing no pericardial effusion, no sequelae of segmental hypokinesia, and a left ventricular ejection fraction of 50%. Six months later, the patient resumed normal activities of daily living. The left ventricular function has normalized, despite persistent arterial hypertension. SCR is 82 µmol/L, without signifificant albuminuria (Tables 1 and 2).

Cistanche has a good effect of improving immunity
DISCUSSION AND CONCLUSION
We describe the first case of post-COVID-19 MIS-A associated with renal TMA successfully treated with eculizumab.
In this case, the IgG-positive serology, negative PCR swab, and the absence of pulmonary involvement demonstrate the post-infectious nature of this syndrome, occurring after viral clearance.
Kidney involvement is frequent in COVID-19, as more than 40% of cases have abnormal proteinuria at hospital admission (16, 17). Scarce histological data are available, showing in most cases ATN, collapsing glomerulopathy, or TMA in patients with acute COVID-19 infection (18–22). AKI is also common during MIS-C, ranging from 10% to 60% of the cases (6, 23, 24) while it was described in four adults in a case series of 20 MIS-A with cardiac involvement (12). Currently, the pathogenesis of AKI in MIS is thought to be mainly related to cytokine-mediated hypotension and cardiac dysfunction, leading to renal hypoperfusion (25).
Our case describes the first kidney biopsy performed in a patient with MIS-A. Scarce histological data are available on this syndrome. A first report showed intraepithelial collections of neutrophils with necrotic keratinocytes in skin biopsy (10). Likewise, in a fatal case of MIS-A, cardiac vasculitis composed of numerous neutrophils and CD4+ T cells was described (14). Similarly, in our case, a renal biopsy revealed an aggressive interstitial infiltrate, mainly composed of neutrophils together with TMA.
TMA refers to pathological features of microvascular injury, including thrombi of platelets and fibrin in capillaries and arterioles (26, 27). These lesions are usually associated with peripheral thrombocytopenia and mechanical hemolytic anemia, although some of these biological markers may be absent (27, 28). In our patient, the absence of a decreased haptoglobin level could be explained by the intensity of the inflflammatory syndrome and predominant intrarenal TMA. Diorio et al. recently proposed criteria for clinical TMA associated with MIS-C, including schistocytes on the blood smear, anemia, elevated LDH, new thrombocytopenia, anemia, proteinuria, hypertension, and elevated sC5b9 (29). Our patient fulfilled fifive out of seven of the criteria, thus meeting their definition. aHUS is a form of TMA with predominant kidney involvement. The pathophysiology of aHUS involves multiple hits (30), but complement activation has a crucial role in this syndrome. Genetically determined or acquired dysregulation of the complement alternative pathway (CAP) has been found in up to 70% of patients with aHUS (27). Genetic screening was negative in our patient. Although we cannot exclude an unknown variant, it is likely that our patient presented with MIS-A complicated with TMA, rather than aHUS unmasked by SARS-CoV-2 infection.

Cistanche has a good effect of improving immunity
The complement system (CS) seems to play a pivotal role in the pathophysiology of COVID-19, as few series have reported TMA injury in lungs and skin with sustained activation of CAP and lectin pathway during COVID-19 disease (31–33). Moreover, mice lacking complement component C3, display less severe respiratory failure and inflflammatory syndrome after SARS-Cov infection (34). Likewise, complement overactivation likely contributes to renal injury during the course of COVID-19 infection, since a few studies have shown complement deposits in vascular beds and tubules (35). In this case, low serum C4 with normal C3 and mildly elevated sC5b-9 is suggestive of classical and/or lectin complement pathways activation. As MIS-A is a post-infectious immune-mediated phenomenon, anti-SARS-CoV-2 immune complexes could drive complement activation. However, Diorio et al. found no correlation between SARS-CoV-2 antibodies and sC5b-9 elevations (29). Moreover, in our case, histopathological analysis revealed evidence of TMA together with C3c deposits but without C4d or immunoglobulin deposits, which is suggestive of alternative complement pathway activation. Lectin pathway triggering, though, cannot be excluded, since it can occur in a C4-bypass pathway and MASP-2 has been suggested to play a key role in the disease process of COVID-19 (33, 36, 37). In our patient, sC5b-9 levels were elevated and C5b-9 staining was positive in kidney biopsy, which is indicative of C5 cleavage by C5 convertase, as described in patients with COVID-19 (38). Likewise, Diorio et al. studied 50 hospitalised paediatric patients with acute SARS-CoV-2 infection (n=21 minimal COVID-19; n=11 severe COVID-19 and n=18 MIS-C) (29); 11 of 18 patients with MIS-C met clinical criteria for TMA. The median sC5b-9 was higher in the patients meeting TMA criteria and associated with AKI. None of the 18 patients needed RRT and no kidney biopsy was performed. Noteworthy, sC5b-9 was also elevated in patients with minimal COVID-19 disease. Eculizumab is a monoclonal anti-C5 antibody that blocks the formation of the membrane attack complex on the surface of endothelial cells and has revolutionised the prognosis of aHUS (39, 40). Small case series have suggested the potential benefits of eculizumab in COVID-19 (41–43). However, no randomized clinical trial has been published to date (32). In our patient, kidney function improved after eculizumab. However, fever, thrombocytopenia and troponin levels were already improving before using any complement blockade. Six months later and after only two courses of eculizumab, our patient’s kidney function has normalised without albuminuria. Likewise, in the case series of MIS-C with TMA published by Diorio et al., all the children recovered (29). Therefore, we cannot exclude that improvement was due to the natural course of the disease rather than to eculizumab, as described in HUS caused by an infection from Shiga toxin-producing Escherichia coli (STEC) (27). Complement blockers have never been tested in patients with MIS, except in a 14-year-old child with features of both acute COVID-19 infection and MIS-C, who developed TMA (44). In this case, a kidney biopsy could not be performed, but AKI resolved on eculizumab, as in our patient. In conclusion, our case suggests that TMA could play a central role in the pathophysiology of post-COVID-19 MIS, making complement blockers an interesting therapeutic option.
DATA AVAILABILITY STATEMENT
The original contributions presented in the study are included in the article/supplementary material. Further inquiries can be directed to the corresponding author.
AUTHOR CONTRIBUTIONS
IB and FP wrote the manuscript. MR is the pathologist who made the diagnosis and took the photographs in Figure 1. KE-K, L-MC, LR, and MM participated in proofreading and collection of data. AM performed the biochemical analysis of the complement pathway. VP performed C5b-9 staining on the kidney biopsy. VF-B performed a genetic analysis. FP is the corresponding author. All authors contributed to the article and approved the submitted version.
ACKNOWLEDGMENTS
We thank all the team at the Melun Intensive Care Unit who were involved in the care of patients during the COVID-19 pandemic.
Cistanche has a good effect of improving immunity
REFERENCES
1. Guan WJ, Ni ZY, Hu Y, Liang WH, Ou CQ, He JX, et al. Clinical Characteristics of Coronavirus Disease 2019 in China. N Engl J Med (2020) 382:1708–20.
2. Varga Z, Flammer AJ, Steiger P, Haberecker M, Andermatt R, Zinkernagel SA, et al. Endothelial Cell Infection and Endotheliitis in COVID-19. Lancet (2020) 395:1417–8.
3. Gupta A, Madhavan MV, Sehgal K, Nair N, Mahajan S, Sehrawat TS, et al. Extrapulmonary Manifestations of COVID-19. Nat Med (2020) 26:1017–32.
4. Libby P, Lüscher T. Covid-19 Is, in the End, An Endothelial Disease. Eur Heart J (2020) 41:3038–44.
5. Huertas A, Montani D, Savale L, Pichon J, Tu L, Parent F, et al. Endothelial Cell Dysfunction: A Major Player in SARS-CoV-2 Infection (COVID-19) Eur Respir J (2020) 56(1):2001634.
6. Basalely A, Gurusinghe S, Schneider J, Shah SS, Siegel LB, Pollack G, et al. Acute Kidney Injury in Pediatric Patients Hospitalized With Acute COVID- 19 and Multisystem Inflammatory Syndrome in Children Associated With COVID-19. Kidney Int (2021)S0085–2538(21):00268–4.
7. Feldstein LR, Rose EB, Horwitz SM, Collins JP, Newhams MM, Son MBF, et al. Multisystem Inflammatory Syndrome in the U.S. Children and Adolescents. N Engl J Med (2020) 383:334–46.
9. Ahmed M, Advani S, Moreira A, Zoretic S, Martinez J, Chorath K, et al. Multisystem Inflammatory Syndrome in Children: A Systematic Review. EClinicalMedicine (2020) 26:100527.
10. Shaigany S, Gnirke M, Guttmann A, Chong H, Meehan S, Raabe V, et al. An Adult With Kawasaki-Like Multisystem Inflammatory Syndrome Associated With COVID-19. Lancet (2020) 396(10246):e8–e10.
11. Sokolovsky S, Soni P, Hoffman T, Kahn P, Scheers-Masters J. Covid-19 Associated Kawasaki-Like Multisystem Inflammatory Disease in an Adult. Am J Emerg Med (2021) 39:253.e251–3.e252.
12. Hékimian G, Kerneis M, Zeitouni M, Cohen-Aubart F, Chommeloux J, Bréchot N, et al. Coronavirus Disease 2019 Acute Myocarditis and Multisystem Inflammatory Syndrome in Adult Intensive and Cardiac Care Units. Chest (2021) 159:657–62.
13. Chau VQ, Giustino G, Mahmood K, Oliveros E, Neibart E, Oloomi M, et al. Cardiogenic Shock and Hyperinflammatory Syndrome in Young Males With Covid-19. Circ Heart Fail (2020) 13:e007485.
14. Fox SE, Lameira FS, Rinker EB, Vander Heide RS. Cardiac Endotheliitis and Multisystem Inflammatory Syndrome After Covid-19. Ann Intern Med (2020) 173:1025–7.
15. Newton-Cheh C, Zlotoff DA, Hung J, Rupasov A, Crowley JC, Funamoto M. Case 24-2020: A 44-Year-Old Woman With Chest Pain, Dyspnea, and Shock. N Engl J Med (2020) 383:475–84.
16. Cheng Y, Luo R, Wang K, Wang Z, Dong L, Li J, et al. Kidney Disease Is Associated With In-Hospital Death of Patients With COVID-19. Kidney Int (2020) 97:829–38. d
17. Batlle D, Soler MJ, Sparks MA, Hiremath S, South AM, Welling PA, et al. Acute Kidney Injury in COVID-19: Emerging Evidence of a Distinct Pathophysiology. J Am Soc Nephrol (2020) 31:1380–3.
18. Su H, Yang M, Wan C, Yi LX, Tang F, Zhu HY, et al. Renal Histopathological Analysis of 26 Postmortem Findings of Patients With COVID-19 in China. Kidney Int (2020) 98(1):219–27.
19. Larsen CP, Bourne TD, Wilson JD, Saqqa O, and Sharshir MA. Collapsing Glomerulopathy in a Patient With Coronavirus Disease 2019 (Covid-19). Kidney Int Rep (2020) 5(6):935–9.
20. Ferlicot S, Jamme M, Gaillard F, Oniszczuk J, Couturier A, May O, et al. The Spectrum of Kidney Biopsies in Hospitalized Patients With COVID-19, Acute Kidney Injury, and/or Proteinuria. Nephrol Dial Transplant (2021) 12: gfab042.
21. Kudose S, Batal I, Santoriello D, Xu K, Barasch J, Peleg Y, et al. Kidney Biopsy Findings in Patients With COVID-19. J Am Soc Nephrol (2020) 31:1959–68.
22. Jhaveri KD, Meir LR, Flores Chang BS, Parikh R, Wanchoo R, Barilla-LaBarca ML, et al. Thrombotic Microangiopathy in a Patient With COVID-19. Kidney Int (2020) 98(2):509–12.
23. González-Dambrauskas S, Vásquez-Hoyos P, Camporesi A, Dıaz-Rubio F, ́ Piñeres-Olave BE, Fernández-Sarmiento J, et al. Pediatric Critical Care and COVID-19. Pediatrics (2020) 146(3):e20201766.
24. Godfred-Cato S, Bryant B, Leung J, Oster ME, Conklin L, Abrams J, et al. Covid-19-Associated Multisystem Inflammatory Syndrome in Children - United States, March-July 2020. MMWR Morbid Mortal Wkly Rep (2020) 69:1074–80.
25. Whittaker E, Bamford A, Kenny J, Kaforou M, Jones CE, Shah P, et al. Clinical Characteristics of 58 Children With a Pediatric Inflammatory Multisystem Syndrome Temporally Associated With SARS-Cov-2. JAMA (2020) 324:259–69.
26. George JN, Nester CM. Syndromes of Thrombotic Microangiopathy. N Engl J Med (2014) 371:654–66.
27. Fakhouri F, Zuber J. Fremeaux-Bacchi V, and Loirat C.Haemolytic Uraemic Syndrome. Lancet (Lond Engl) (2017) 390:681–96.
28. Sellier-Leclerc AL, Fremeaux-Bacchi V, Dragon-Durey MA, Macher MA, Niaudet P, Guest G, et al. Differential Impact of Complement Mutations on Clinical Characteristics in Atypical Hemolytic Uremic Syndrome. J Am Soc Nephrol: JASN (2007) 18:2392–400.
29. Diorio C, McNerney KO, Lambert M, Paessler M, Anderson EM, Henrickson SE, et al. Evidence of Thrombotic Microangiopathy in Children With SARSCoV-2 Across the Spectrum of Clinical Presentations. Blood Adv (2020) 4:6051–63.
30. Frimat M, Boudhabhay I, Roumenina LT. Hemolysis Derived Products Toxicity and Endothelium: Model of the Second Hit. Toxins (Basel) (2019) 11(11):660.
31. Magro C, Mulvey JJ, Berlin D, Nuovo G, Salvatore S, Harp J, et al. Complement Associated Microvascular Injury and Thrombosis in the Pathogenesis of Severe COVID-19 Infection: A Report of Five Cases. Transl Res (2020) 220:1–13.
32. Java A, Apicelli AJ, Liszewski MK, Coler-Reilly A, Atkinson JP, Kim AH, et al. The Complement System in COVID-19: Friend and Foe? JCI Insight (2020) 5 (15):e140711.
33. Rambaldi A, Gritti G, Micò MC, Frigeni M, Borleri G, Salvi A, et al. Endothelial Injury and Thrombotic Microangiopathy in COVID-19: Treatment With the Lectin-Pathway Inhibitor Narsoplimab. Immunobiology (2020) 225:152001.
34. Gralinski LE, Sheahan TP, Morrison TE, Menachery VD, Jensen K, Leist SR, et al. Complement Activation Contributes to Severe Acute Respiratory Syndrome Coronavirus Pathogenesis. mBio (2018) 9(5):e01753–18.
35. Pfister F, Vonbrunn E, Ries T, Jäck HM, Überla K, Lochnit G, et al. Complement Activation in Kidneys of Patients With Covid-19. Front Immunol (2020) 11:594849.
36. Farrar CA, Tran D, Li K, Wu W, Peng Q, Schwaeble W, et al. Collectin-11 Detects Stress-Induced L-fucose Pattern to Trigger Renal Epithelial Injury. J Clin Invest (2016) 126:1911–25.
37. Boudhabhay I, Poillerat V, Grunenwald A, Torset C, Leon J, Daugan MV, et al. Complement Activation Is a Crucial Driver of Acute Kidney Injury in Rhabdomyolysis. Kidney Int (2021) 99:581–97.
38. Cugno M, Meroni PL, Gualtierotti R, Griffin S, Grovetti E, Torri A, et al. Complement Activation in Patients With COVID-19: A Novel Therapy tic Target. J Allergy Clin Immunol (2020) 146(1):215–7.
39. Legendre CM, Licht C, Muus P, Greenbaum LA, Babu S, Bedrosian C, et al. Terminal Complement Inhibitor Eculizumab in Atypical Hemolytic-Uremic Syndrome. N Engl J Med (2013) 368:2169–81.
40. Zuber J, Frimat M, Caillard S, Kamar N, Gatault P, Petitprez F, et al. Use of Highly Individualized Complement Blockade Has Revolutionized Clinical Outcomes After Kidney Transplantation and Renal Epidemiology of Atypical Hemolytic Uremic Syndrome. J Am Soc Nephrol (2019) 30:2449–63.
41. Diurno F, Numis FG, Porta G, Cirillo F, Maddaluno S, Ragozzino A, et al. Eculizumab Treatment in Patients With COVID-19: Preliminary Results From Real Life ASL Napoli 2 Nord Experience. Eur Rev Med Pharmacol Sci (2020) 24:4040–7.
42. Peffault de Latour R, Bergeron A, Lengline E, Dupont T, Marchal A, Glacier L, et al. Complement C5 Inhibition in Patients With COVID-19 - A Promising Target Haematologica (2020) 105:2847–50.
43. Annane D, Heming N, Grimaldi-Bensouda L, Frémeaux-Bacchi V, Vigan M, Roux AL, et al. Eculizumab as an Emergency Treatment for Adult Patients With Severe COVID-19 in the Intensive Care Unit: A Proof-of-Concept Study. EClinicalMedicine (2020) 28:100590.
44. Mahajan R, Lipton M, Broglie L, Jain NG, Uy NS. Eculizumab Treatment for Renal Failure in a Pediatric Patient With COVID-19. J Nephrol (2020) 33:1373–6.







